Whole-body MRI in Melbourne

Radiation and contrast-free with no referral required. Scans 13 vital systems and organs and screens for over 500 conditions.
Melbourne CBD, 3004
509 St Kilda Rd, Melbourne, Victoria, 3004
-37.84391393462497
144.97920372490182
VIC
All
current
509 St Kilda Rd, Melbourne, Victoria, 3004
Book here
Trusted by Australians
The team from initial call to final report were extremely helpful and very professional. Thanks for the experience and final report - very happy with the whole process.
— 44 years old, Female, VIC

What's included

13

Vital systems checked

500+

conditions screened

60

minutes scan time

2

weeks to get results

Radiation-free. Contrast-free. Referral-free.

How it works

Book your scan

Start with a free consultation.
No referral is needed.
Choose the clinic and time that suits you best.

Attend the scan

Your scan takes place at a trusted clinic near you.
It is radiation-free, non-invasive, and lasts about 45 to 60 minutes.
The environment is calm and private.

Get your results

All scans are reviewed by OneMRI radiologists.
Our doctors explain your results clearly, with no jargon.
You leave with peace of mind, not just a report.

Take action

If needed, follow up with your GP.
Use your scan as a yearly health baseline.
Regular scans help track changes in your health over time.

What you get

Our full-body MRI takes about 60 minutes. Within two to three weeks, you’ll receive a detailed medical report reviewed by a OneMRI radiologist. A follow-up consultation with one of our clinicians will be arranged at your convenience to explain your results and answer any questions.

See What’s Included in Your Report

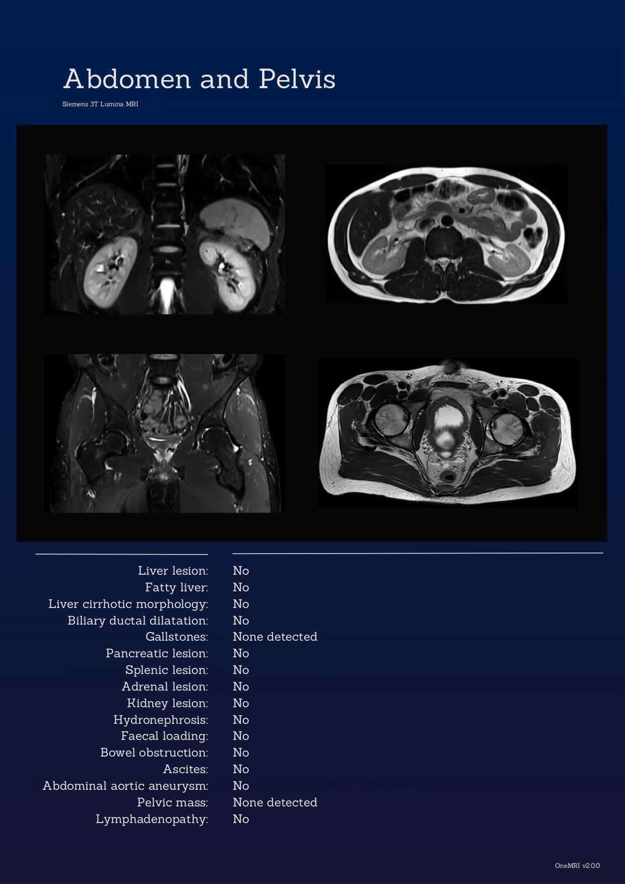
Your report is more than a summary. It is a complete, visual overview of your health. Each scan includes annotated images, clear explanations of any findings, and a summary that highlights areas for follow-up.

Tap images below to explore examples.

Comprehensive whole-body MRI: $2,990

We believe strongly in transparent and simple pricing. That's why our scans are one price

A whole body MRI performed at a trusted imaging clinic.

A radiologist-reviewed report.

A doctor consultation to explain your results in plain, simple language.

Common questions

Do I need a referral?

You don’t need a GP referral to book with OneMRI, you can go direct. If you’ve got questions, we’re here to help. Just click the free consult button to chat with our team.

What does a scan include?

Your scan includes: the comprehensive whole-body MRI scan itself, a radiologist-reviewed report, and a follow-up consult with a doctor who explains your results.

Is it safe to do every year?

Yes. Our scans are radiation-free and contrast-free, making them safe for routine annual use... a great way to know your health baseline and check what changes over time. We also have an annual health plan coming soon.

How long does the scan take?

The scan takes 45–60 minutes. The full clinic visit may take a little longer, depending on your location and schedule.

Can I claim it on private health insurance?

Most private insurers do not currently cover preventive MRI scans. Check with your provider.